Kristin Pullum had suffered for years. Since the age of 16, she experienced headaches, face pain, and jaw pain. Although she had seen multiple doctors over the years, none could relieve her symptoms. Instead, her symptoms worsened with time.
But a full mouth reconstruction has not only given her relief from her pain, it’s given her benefits she never anticipated. She looks and feels younger and more beautiful–and the compliments she gets have lifted her spirits tremendously.
A Downward Spiral
Kristin had TMJ since she was 16. Unlike many people, her condition hadn’t gone undiagnosed. Doctors knew what the problem was, but they couldn’t help. She had received various treatments over the years, but relief was limited.
Knowing that dentists could treat TMJ, Kristin had also seen many general dentists. Some of them fitted her with mouthguards or oral appliances. But because these weren’t fitted properly, they did little to help and some may have even caused damage.
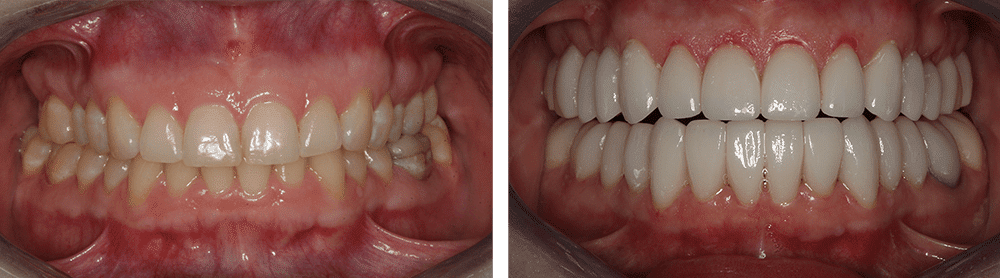
As a result, her condition worsened. Her teeth experienced wear and were in danger of breaking, which would mean major reconstruction or loss of the teeth.
Although these changes were on the inside, the effects were written on her face. Tooth wear caused her face to shrink vertically, and the constant clenching of her jaw caused her bite muscles to grow larger. The result made her face rounder, and it made her look much older than she actually was.
The Neuromuscular Dentistry Solution
Despite the number of dentists she had seen, Kristin had never heard of neuromuscular dentistry until she came to work in our office. And that’s a shame, because neuromuscular dentistry held the answer to all her problems.
Once she had a consultation and agreed to treatment, our TMJ dentists were able to finally get an accurate impression of her teeth and jaws. Using the advanced diagnostic equipment in our office, we were able to analyze her teeth, muscles, and joints to determine the precise problem and design an effective, permanent solution.
Having determined the optimal position for her jaw, our dentists used dental crowns to build up her teeth so they held her jaw in that position. The procedure was short and painless.
A World of Difference
Since her treatment, Kristin is overjoyed that she has not had any headaches or jaw pain. Teeth that were failing are now strong and beautiful. So beautiful that she gets compliments on her smile for the first time in her life.
But those aren’t the only compliments she gets. Her entire facial appearance has changed. For the first time in her life, she has a well-defined chin. Her face is taller, and with the calming of her clenching jaw muscles, her face has grown more slender. Her svelte appearance conceals her age–no one believes she’s the mother of three teenagers! That’s why we call it a non-surgical facelift.
Kristin’s story is a reminder of the amazing difference neuromuscular dentistry can make. Even if your doctors or other dentists have tried to treat you, we invite you to talk to us before you give up hope and resign yourself to pain. You can live pain-free, and be beautiful, too!
To learn how we can help with TMJ and other bite or jaw problems, please contact us by email, or call for an appointment with a Savannah cosmetic dentist at Beyond Exceptional Dentistry at (912) 234-8282.

